Tooth Whitening NO ORDINARY WHITENING
- Guaranteed results in 3 weeks (Severe cases in 4 weeks)!
- No food or drink restrictions!
- Permanent results if protocol is followed!
- Treatment involves a combined home and surgery treatment.
Free Consultation

Permanent
results
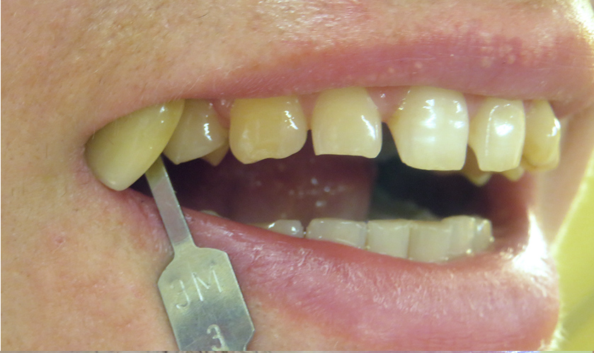
Before

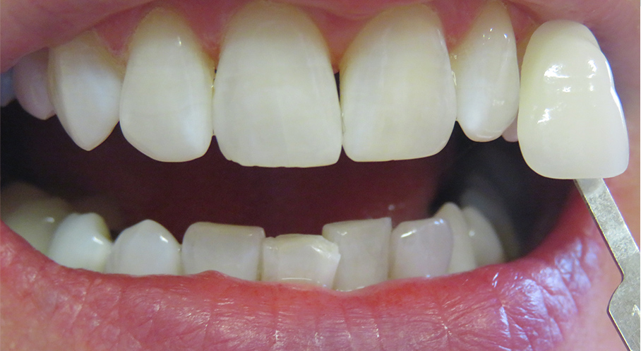
After 2 weeks





