
A NEW
SMILE
IN 2 WEEKS
Free Consultation

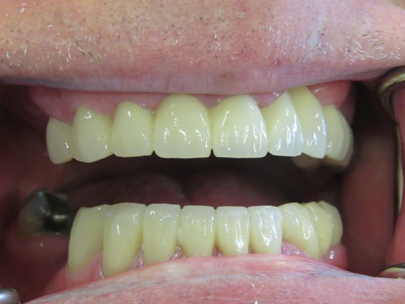
For crowns a small amount of the tooth is removed and a ceramic cap will cover your teeth.
Bridge. No denture no implant is required in some cases.
Veneer. A custom made thin layer of ceramic that is bonded securely to the front surface of the tooth.
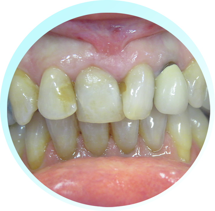
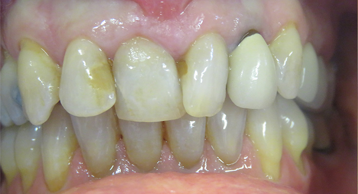
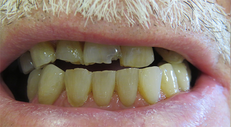
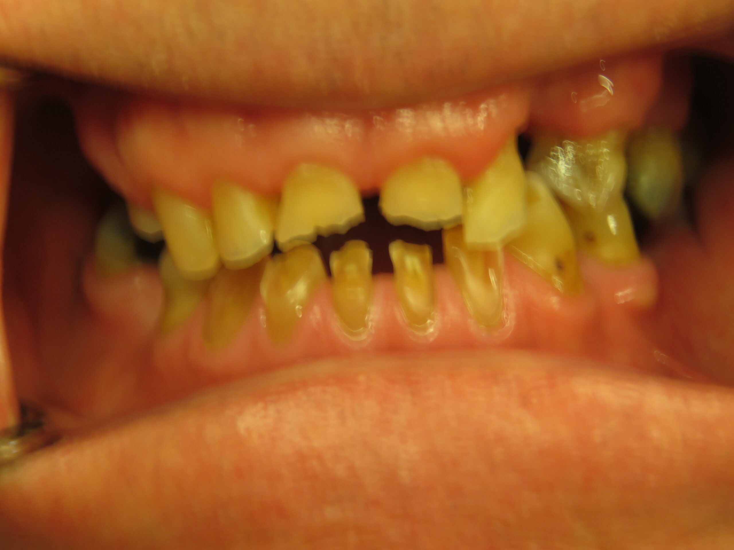
BEFORE

AFTER 2-3 WEEKS



No Denture No Implants


Complete Rehabilitation No Dentures No Implants


